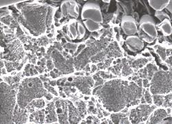
 Desmear Process : ( 除膠渣制程 ) The three step desmear process ensures removal of epoxy-smear from innerlayers and optimal preparation of the epoxy surface
Sweller PC : ( 膨脹劑 PC ) The Sweller PC ensures the optimal preparation of the drilled hole walls for subsequent treatment with permanganate. Excellent micro roughness for supreme hole wall adhesion Controlled smear removal for reliable inter connects Suitable for horizontal and vertical applications
Sweller SBU : ( 膨脹劑 SBU ) The Sweller SBU is especially suitable for improvement of adhesion in semi-additive SBU processes. The Sweller SBU is designed for photosensitive and non-photosensitive materials. Advanced solvent system for state of the art and high-end applications Special swelling for roughening and cleaning of >dielectric surfaces during SBU process. >high Tg base material Superior Cu-adhesion - Even surface structure Suitable for horizontal and vertical applications
|